喝下 2 瓶啤酒后,意识模糊口吐血色泡沫,入院抢救无效死亡


简要病史:患者男性,29 岁,既往体健。因「恶心,呕吐 2 小时,气促伴有口鼻血色泡沫 1 小时」呼 120 出车接回。患者同事代诉,患者由于工作努力,老板予加工资。晚上请 2 位同事在宿舍喝酒,饮用约 2 瓶啤酒(共约 1000ml)后出现头晕,恶心,呕吐胃内容物多次,无咖啡样物,无伴明显腹痛,腹胀,腹泻,无心悸,胸闷,胸痛等不适。

1 小时前仍持续呕吐,伴有气促,意识模糊,口鼻中涌出大量红色泡沫样分泌物,伴有面色发绀,狂躁不安,同事呼 120 出车接回。到达现场患者烦躁不安,口鼻见大量红色泡沫分泌物,不配合测量生命体征,予吸痰后面罩吸氧接回。

图片

体格检查:T 37.0℃,P 140 次/分,R 36 次/分,BP 81/58mmHg,SPO2: 78% (面罩高流量给氧下)。神志模糊,口鼻见大量红色泡沫涌出,全身皮肤湿冷,四肢肢端,口唇发绀。双侧瞳孔等大等圆,直径约 4mm,对光反射迟钝。双肺呼吸音弱,可闻及大量湿啰音,心率 140 次/分,心律齐,心音低钝,听诊不清。腹平软,体查不合作。四肢肌力、肌张力检查不合作,未引出病理征。来院后即予镇静下行气管插管接呼吸机辅助通气,气管插管内仍涌出大量血性水样分泌物,心电图如下:

图片

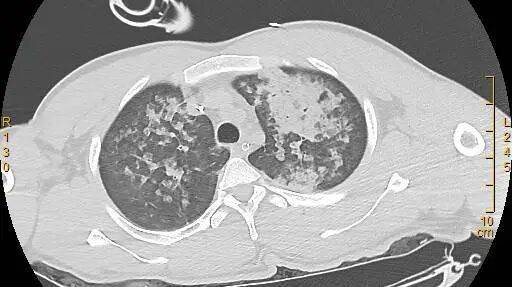
胸部 CT 如下:

图片

图片

入院后请多学科会诊,予大剂量去甲肾上腺素+多巴胺+多巴酚丁胺 + IABP 维持血压、纯氧 + PEEP15cmH2O 维持血氧、抗感染、持续 CRRT 液体管理等治疗后患者一度意识好转,呼吸机辅助通气下呼之能睁眼,能摇点头示意。然而 3 天后患者再起高热后 3 小时再次发生心跳骤停,复苏 1 小时仍无明显心跳,宣告死亡。

如果您接诊此病人会怎么做呢?患者如此年轻且既往体健的情况下,两瓶啤酒怎么会导致死亡?患者死因是什么?



Source link

发表回复

您的邮箱地址不会被公开。 必填项已用 * 标注